The Surge

A new publication examines the KONECT RESILIA aortic valved conduit for aortic root replacement

In-Human Implantation of a Novel Biologic Valved Conduit for Aortic Root Replacement by DeRoo, et al.
Aortic root replacement is a common but complex cardiac surgical procedure. The KONECT RESILIA aortic valved conduit (AVC) is the first pre-assembled, ready-to-implant* valved conduit with RESILIA tissue. It is built on the proven performance of both the Carpentier–Edwards PERIMOUNT valve platform and the Gelweave Valsalva graft. The pre-assembled KONECT RESILIA aortic valved conduit intuitively eliminates procedural steps†, which is especially important in emergency cases.
The authors of the study reported on three aortic root replacement patients receiving the KONECT RESILIA AVC. All patients were transported to the cardiothoracic ICU after their procedures, discharged after a median stay of 5 days, and seen at a 6-month follow-up. None of the three patients experienced complications at the 6-month follow up and all were doing well.
“The KONECT AVC represents an incremental step forward in aortic root replacement. In addition to saving time in the operating room, the KONECT AVC offers several potential advantages over traditional “back table” bio-Bentall grafts.”

FIGURE 1 KONECT RESILIA aortic valved conduit (Edwards Lifesciences, Irvine, CA).

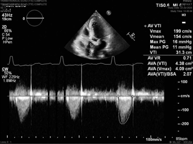
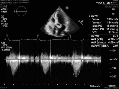
FIGURE 2 Representative predischarge transthoracic echocardiography image with continuous-wave Doppler demonstrating low postoperative aortic valve gradient and velocity in the KONECT RESILIA aortic valved conduit (Edwards Lifesciences, Irvine, CA).
The case studies in this paper demonstrate the process, benefits, and intra-operative outcomes of implantation of the KONECT RESILIA AVC, including how the conduit simplifies aortic root replacement. Long-term follow-up is necessary to determine whether there are additional advantages in terms of durability and hemodynamics relative to other commercially available bioprosthetic root replacement options.
To learn more about this product, visit Edwards.com/KONECT.
*Consult instructions for use for device preparation instructions.
†As compared to self-assembled tissue valved conduits.
References
DeRoo SC et al. In-Human Implantation of a Novel Biologic Valved Conduit for Aortic Root Replacement. Ann Thorac Surg 2022;113:e21-e24.
Important Safety Information
KONECT RESILIA Aortic Valved Conduit
Indications: For use in replacement of native or prosthetic aortic heart valves and the associated repair or replacement of a damaged or diseased ascending aorta.
Contraindications: There are no known contraindications with the use of the KONECT RESILIA aortic valved conduit.
Complications and Side Effects: Thromboembolism, valve thrombosis, hemorrhage, hemolysis, regurgitation, endocarditis, structural valve deterioration, nonstructural dysfunction, stenosis, arrhythmia, transient ischemic attack/stroke, congestive heart failure, myocardial infarction, any of which could lead to reoperation, explantation, permanent disability, and death. Adverse events potentially associated with the use of polyester vascular grafts include hemorrhage, thrombosis, graft infection, embolism, aneurysm, pseudoaneurysm, seroma, occlusion (anastomotic intimal hyperplasia), immunological reaction to collagen (shown to be a weak immunogen; infrequent, mild, localized and self-limiting), intimal peel formation, and conduit dilatation, any of which could lead to re-operation, explantation, permanent disability, and death.
CAUTION: Federal (USA) law restricts these devices to sale by or on the order of a physician. See instructions for use for full prescribing information.
Edwards, Edwards Lifesciences, the stylized E logo, Carpentier-Edwards, Carpentier-Edwards PERIMOUNT, KONECT, KONECT RESILIA, PERIMOUNT, and RESILIA are trademarks of Edwards Lifesciences Corporation or its affiliates. All other trademarks are property of their respective owners.
© 2022 Edwards Lifesciences Corporation. All rights reserved. PP--US-6886 v.1.0
Edwards Lifesciences • One Edwards Way, Irvine CA 92614 USA • edwards.com